Soluciones completas para restaurar tu sonrisa y función oral en Viña del Mar. ¡Expertos en rehabilitación oral te esperan!
AGENDA UNA EVALUACIÓN GRATUITA PARA OBTENER UN PRESUPUESTO PERSONALIZADO
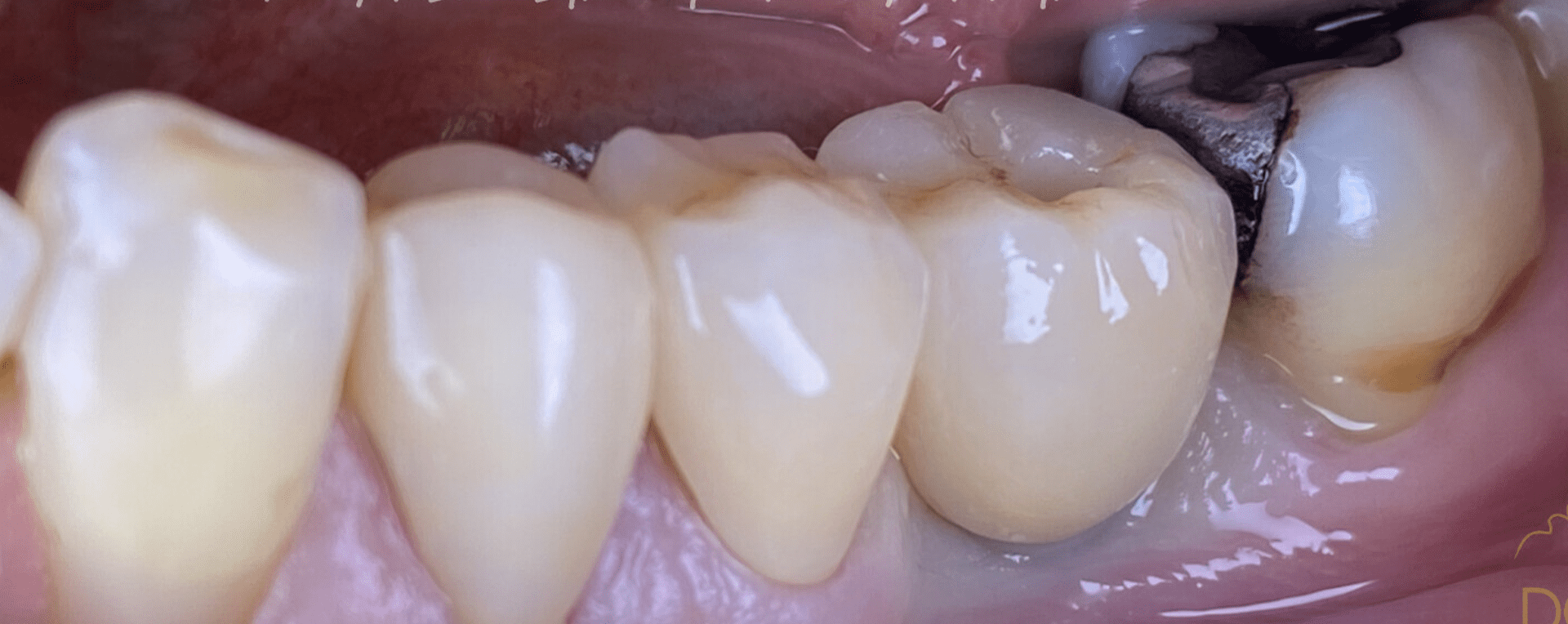
La Rehabilitación Oral Integral es un conjunto de procedimientos para cuya planificación, ejecución y observación, intervienen distintas especialidades de la odontología en un mismo caso y que tiene por objetivo devolver la función y la estética dental cuando hay afectaciones serias.
Cuando se habla de rehabilitación oral se da por hecho que la función de la boca está parcial o totalmente afectada lo cual provoca dificultades para comer, hablar o sonreír. No es un tratamiento puramente estético.
Existen muchas formas de hacer una rehabilitación oral, aunque no todas son la mejor para cada caso. Es difícil definir la duración de un tratamiento de rehabilitación oral. Cada caso es diferente, y tiene causas y necesidades distintas.
En clínica Dental Esthetic tenemos como objetivo principal devolverle a nuestros pacientes no solamente su estética Dental sino también su calidad de vida, para ello se elaboramos un plan de tratamiento hecho totalmente a medida, dependiendo netamente de las necesidades de cada paciente.
VALORES DE LOS TRATAMIENTOS ESTÁN SUJETOS A EVALUACIÓN CLÍNICA
Profesionales inscritos en la Superintendencia de Salud y clínica autorizada por Seremi de Salud

